Wednesday, October 31, 2012
Monday, October 22, 2012
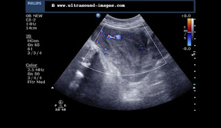
Sonography of ectopic pregnancy
this patient was a young woman with a history of five weeks amenorrhoea. She also gave a history of bleeding PV, a few days before the ultrasound scan. Transabdominal and transvaginal sonography was done. Some of the Ultrasound images are shown below:
Transabdominal ultrasound images of this case show a bulky uterus with possible left adnexal mass.
There is also a suggestion of a small amount of fluid in the cul-de-sac.
Colour Doppler ultrasound shows mild vascularity around the left adnexal region- nothing significant there:
Transabdominal ultrasound images of this case show a bulky uterus with possible left adnexal mass.
There is also a suggestion of a small amount of fluid in the cul-de-sac.
Colour Doppler ultrasound shows mild vascularity around the left adnexal region- nothing significant there:
But transvaginal ultrasound shows an entirely different picture. The images below show significant fluid in the cul-de-sac and the adnexal regions. the ominous nature of the mass in the left adnexal region is also more obvious. The left adnexal mass measures more than 4 x 2 cm. Though again, colour Doppler shows limited vascularity in this region, the ultrasound and Doppler images together suggest a leaking ectopic pregnancy in the left adnexal region. Final diagnosis: left ectopic (tubal) pregnancy with haemorrhagic fluid in the cul-de-sac.
Saturday, October 20, 2012
Septate pleural effusion in known Carcinoma lung
This is an elderly female patient and a known case of carcinoma left lung. Left lower zone pleural effusion is seen in these ultrasound images of left hemi-thorax.
Medical literature classifies pleural effusion based on sonographic patterns as:
1) anechoic
2) complex septated
3) complex nonseptated
4) homogenous
Studies have been done to evaluate effusion in lung cancer and also in tuberculous lung infections.
In this case the pleural effusion is certainly the exudative type rather than transudate variety. Complex septate effusions are more common in tubcerculosis but are also seen in lung malignancy.
see: http://www.jultrasoundmed.org/content/25/7/857.full.pdf
Also visit: http://www.ultrasound-images.com/chest.htm#Case-2:_septate_pleural_effusion
Wednesday, October 10, 2012
Ultrasound- subseptate uterus with pregnancy
This 16 week pregnancy shows two fundic uterine cavities.
The placenta is fundal and anterior and occupies the right half of the uterine cavity. The left half of the cavity is empty but for some amniotic fluid.
As we travel downwards, the two "horns" of the uterine cavity (from the fundus) merge into one wide uterine cavity in the body of the uterus:
Upwards, the clear separation of the uterine cavities by a thick septum is obvious.
Few vessels are seen in the septum separating the two uterine cavities.
Visit: http://www.ultrasound-images.com/uterus.htm#Congenital_anomalies_of_uterus
for more on sonography of uterine anomalies.
Final diagnosis: subseptate uterus with pregnancy
The placenta is fundal and anterior and occupies the right half of the uterine cavity. The left half of the cavity is empty but for some amniotic fluid.
As we travel downwards, the two "horns" of the uterine cavity (from the fundus) merge into one wide uterine cavity in the body of the uterus:
Upwards, the clear separation of the uterine cavities by a thick septum is obvious.
Few vessels are seen in the septum separating the two uterine cavities.
Visit: http://www.ultrasound-images.com/uterus.htm#Congenital_anomalies_of_uterus
for more on sonography of uterine anomalies.
Final diagnosis: subseptate uterus with pregnancy
Saturday, October 06, 2012
Severe DVT of the lower limb
There is no flow in the left femoral and popliteal veins with echogenic matter within them.
Both femoral and popliteal veins appear incompressible. In fact I could compress the artery a bit but not the veins!
A wee bit of trickling flow is seen in the left popliteal vein on lowering the PRF way down to 1.3 Khz.
The last image (bottom) shows very poor augmentation on calf pressure.
Both femoral and popliteal veins appear incompressible. In fact I could compress the artery a bit but not the veins!
A wee bit of trickling flow is seen in the left popliteal vein on lowering the PRF way down to 1.3 Khz.
The last image (bottom) shows very poor augmentation on calf pressure.
Sonography- retained products of conception
A few days after delivery, this patient still has hemorrhagic discharge per vagina. Ultrasound imaging of the uterus show what appears to be echogenic matter within the uterine cavity.
This tissue in the uterine cavity (retained products of conception) shows no vascularity on Doppler study. This matter could represent decidual remnants or even bits of placental tissue.
This tissue in the uterine cavity (retained products of conception) shows no vascularity on Doppler study. This matter could represent decidual remnants or even bits of placental tissue.
Thursday, October 04, 2012
Popliteal vein thrombosis- on arterial Doppler study
This elderly male patient has cellulitis of the left leg. I was requested to do an arterial Doppler study of the affected lower limb. What I found was interesting:
This is the left femoral artery: normal triphasic pattern with normal PSV (peak systolic velocity) and EDV (end-diastolic velocity).
I tried to compress the cord like structure ( obviously the left popliteal vein).....absolutely impossible.
This is the appearance of the popliteal vein and popliteal artery. Diagnosis: left popliteal vein thrombosis
For more on this topic: http://www.ultrasound-images.com/vascular.htm#Popliteal_vein_thrombosis
Also: http://ultrasound-videos.blogspot.in/2010/09/popliteal-vein-thrombus-color-doppler.html
This is the left femoral artery: normal triphasic pattern with normal PSV (peak systolic velocity) and EDV (end-diastolic velocity).
This is what I found in the popliteal region: normal flow in the left popliteal artery again... but observe that thick echogenic, inhomogenous cord like structure superficial to the popliteal artery. It showed absolutely no
flow signals on color Doppler imaging.
I tried to compress the cord like structure ( obviously the left popliteal vein).....absolutely impossible.
This is the appearance of the popliteal vein and popliteal artery. Diagnosis: left popliteal vein thrombosis
For more on this topic: http://www.ultrasound-images.com/vascular.htm#Popliteal_vein_thrombosis
Also: http://ultrasound-videos.blogspot.in/2010/09/popliteal-vein-thrombus-color-doppler.html
Wednesday, October 03, 2012
Doppler study-Severe stenosis of the lower limb arteries
This 54 year old lady has severe stenosis of the popliteal, posterior and anterior tibial arteries. Having gangrene of the left foot, it was necessary to examine her lower limb arterial tree for the extent of disease. Color and spectral Doppler images of the arteries of the lower limb are shown below:
The normal triphasic spectral Doppler waveform of the major arteries of the lower limb are replaced by biphasic and monophasic waveforms that suggest severe and extensive atherosclerotic stenotic changes.
The femoral artery: biphasic pattern- PSV= 63 cms./sec-(normal= 90 cms./sec) several areas of beading or dropout zones in the color flow observed (due to wall calcification)- s/o moderate stenosis (50- 74 % stenosis) of the left femoral artery. There is also spectral broadening and some degree of dampening of the waveforms.
A spectral Doppler ultrasound image of the lower third of the left femoral artery: see below:
Transverse section colour Doppler ultrasound image of the popliteal artery shows moderate thickening of wall of the artery with significant stenosis at this level:
A longitudinal section view in colour Doppler of the same stenosed segment of the left popliteal artery:
A spectral Doppler waveform study of the pre-stenotic and post-stenotic segments of the left popliteal artery show moderate dampening of the waveform suggesting significant stenosis in the segment in between:
comparing the peak systolic velocity in the prestenotic and stenotic segments of the left popliteal artery, the stenosed segment shows more than twice peak systolic velocity. (See below):
The normal triphasic spectral Doppler waveform of the major arteries of the lower limb are replaced by biphasic and monophasic waveforms that suggest severe and extensive atherosclerotic stenotic changes.
The femoral artery: biphasic pattern- PSV= 63 cms./sec-(normal= 90 cms./sec) several areas of beading or dropout zones in the color flow observed (due to wall calcification)- s/o moderate stenosis (50- 74 % stenosis) of the left femoral artery. There is also spectral broadening and some degree of dampening of the waveforms.
The left popliteal artery: PSV= 23 cms./sec (normal = 68 cms./sec)- spectral broadening with monophasic pattern - and severe dampening of the flow- increased end diastolic velocity- all suggest severe stenosis (75- 99 %) of the popliteal artery.
The left posterior tibial and anterior tibial arteries also show evidence of severe stenosis (75- 99 %) with marked dampening of flow: (PTA= posterior tibial artery) (ATA= anterior tibial artery):
For more on this topic and similar Doppler case studies, visit:
Reference: Peripheral vascular ultrasound- Abigail Thrush (see p. 128)
Case-2: A case of moderate left popliteal artery stenosis due to chronic diabetes:
This 60-year-old lady has dampening of flow in the left femoral artery:
see colour Doppler ultrasound is images below:
in these colour Doppler ultrasound images of the left femoral artery, note the loss of triphasic waveform of the artery in the spectral Doppler images, replaced with a mildly dampened and biphasic flow. The damping of the left femoral artery is more obvious in the lower part of this vessel as it approaches the stenosed left popliteal artery.
A spectral Doppler ultrasound image of the lower third of the left femoral artery: see below:
The left popliteal artery:
And now we shall see the most severely affected part of the lower limb arterial system, namely the left popliteal artery: the first image shows the stenotic segment of the left popliteal artery- note the very high peak systolic velocity or PSV approaching almost 140 cm/s. The normal peak systolic velocity (PSV) for the popliteal artery should not exceed 68 cm/s. Here, the peak systolic velocity of the left popliteal artery is more than twice the normal suggesting a moderate stenosis at this level.
A longitudinal section view in colour Doppler of the same stenosed segment of the left popliteal artery:
A spectral Doppler waveform study of the pre-stenotic and post-stenotic segments of the left popliteal artery show moderate dampening of the waveform suggesting significant stenosis in the segment in between:
comparing the peak systolic velocity in the prestenotic and stenotic segments of the left popliteal artery, the stenosed segment shows more than twice peak systolic velocity. (See below):
the rest of the arterial tree below the left popliteal artery confirm the degree of stenosis, in this case due to diabetic atherosclerosis. This is very evident in the left anterior tibial artery, left posterior tibial artery, and the Peroneal artery of the left lower limb. As in the earlier case, this patient too shows moderate to severe dampening of flow in the above-mentioned arteries: ( see colour Doppler ultrasound and spectral Doppler ultrasound images below):
in the above three ultrasound and spectral Doppler waveform images, note the complete loss of tri-phasic waveform replaced by a monophasic dampened flow pattern typical of stenosis higher up, in this case, the left popliteal artery.
Subscribe to:
Comments (Atom)



































































