Sunday, September 30, 2012
Sunday, September 23, 2012
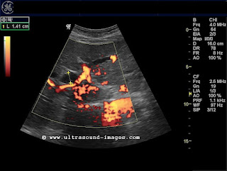
A case of right iliac fossa pain in a child:
This 8 yr old girl had severe right iliac fossa pain and tenderness.
Ultrasound and color Doppler images of the right hemipelvis and right iliac region show a severely swollen appendix (the diameter varied from 8 to 12 mm.) with considerable hyperemia of the wall (see the color Doppler images). The tubular structure showed typical gut signature, one of the hallmarks of Gastro intestinal tract ultrasonography. There is also a large inhomogenous collection with echogenic debris anterior to the appendix, possibly an abscess (peri-appendicular)- (M or ABS)
For more on appendicular pathology - visit:
http://www.ultrasound-images.com/appendix.htm
Ultrasound and color Doppler images of the right hemipelvis and right iliac region show a severely swollen appendix (the diameter varied from 8 to 12 mm.) with considerable hyperemia of the wall (see the color Doppler images). The tubular structure showed typical gut signature, one of the hallmarks of Gastro intestinal tract ultrasonography. There is also a large inhomogenous collection with echogenic debris anterior to the appendix, possibly an abscess (peri-appendicular)- (M or ABS)
For more on appendicular pathology - visit:
http://www.ultrasound-images.com/appendix.htm
Saturday, September 15, 2012
Ultrasound imaging of popliteal vein thrombosis
This is a rather puzzling case. 54 year old male patient with right calf pain.
The right femoral vein shows this highly pulsatile nature (observe those spectral Doppler waveforms).
Perhaps they can be explained by the transmitted pulsations of the adjacent femoral artery. But I am not fully convinced. Those pulsations were seen even in the GSV (great saphenous vein). See images below:
The right femoral artery:
The right GSV (great saphenous vein): There is no normal venous flow pattern- only a spiky pulsation- more arterial in nature:
The right femoral vein:
Normal compressibility of the right femoral vein:
The femoral vein and artery in long section color Doppler flow:
Spectral Doppler trace of the right femoral vein- again that pattern
I tried augmentation by compressing below the calf- weak augmentation of the femoral vein:
And now the right popliteal vein:
The upper half of the popliteal vein shows good flow on color Doppler imaging:
Spectral waveform- normal flow in upper part of popliteal vein:
Strong venous waveforms again in the upper half of the popliteal vein:
The lower half of the popliteal vein shows a different picture with a partial thrombosis likely. There is almost no flow in this part of the vein. The thrombosis of the popliteal vein can explain the calf pain.
Comparing the upper half and lower part of the affected popliteal vein- normal flow in the upper half vs poor or no flow in the lower part. That echogenic matter in the lower part is possibly the thrombus!
The right femoral vein shows this highly pulsatile nature (observe those spectral Doppler waveforms).
Perhaps they can be explained by the transmitted pulsations of the adjacent femoral artery. But I am not fully convinced. Those pulsations were seen even in the GSV (great saphenous vein). See images below:
The right femoral artery:
The right GSV (great saphenous vein): There is no normal venous flow pattern- only a spiky pulsation- more arterial in nature:
The right femoral vein:
Normal compressibility of the right femoral vein:
The femoral vein and artery in long section color Doppler flow:
Spectral Doppler trace of the right femoral vein- again that pattern
I tried augmentation by compressing below the calf- weak augmentation of the femoral vein:
And now the right popliteal vein:
The upper half of the popliteal vein shows good flow on color Doppler imaging:
Spectral waveform- normal flow in upper part of popliteal vein:
Strong venous waveforms again in the upper half of the popliteal vein:
The lower half of the popliteal vein shows a different picture with a partial thrombosis likely. There is almost no flow in this part of the vein. The thrombosis of the popliteal vein can explain the calf pain.
Comparing the upper half and lower part of the affected popliteal vein- normal flow in the upper half vs poor or no flow in the lower part. That echogenic matter in the lower part is possibly the thrombus!
Sonography of right renal mass:
This huge right renal (upper pole) or suprarenal mass measured 8 x 7 x 12 cms. approximately. Looking at the ultrasound images, it looks like an echogenic homogenous mass. Is it a renal angiomyolipoma or a suprarenal tumor?
It (the tumor) sure looks poorly vascular...Even with very low PRF settings, I could barely see any vessels.
For more on renal angiomyolipoma see: http://www.ultrasound-images.com/kidneys.htm#Renal_angiomyolipoma_-%28AML%29_of_right_kidney
It (the tumor) sure looks poorly vascular...Even with very low PRF settings, I could barely see any vessels.
For more on renal angiomyolipoma see: http://www.ultrasound-images.com/kidneys.htm#Renal_angiomyolipoma_-%28AML%29_of_right_kidney
Tuesday, September 04, 2012
Right inguinoscrotal hernia
This elderly male patient has a large Rt. inguino-scrotal swelling with all the typical signs of an inguinoscrotal hernia.
The ultrasound images show a "mass" within a large fluid with bowel and mesentery suspended above the right testis. This is a typical finding in male indirect inguinal or inguinoscrotal hernia.
The right testis appears to be normal in size and shape despite the huge hernial sac compressing it.
See a similar ultrasound case at:
http://www.ultrasound-images.com/scrotum.htm#Indirect_inguinal_hernia_forming_large_Right_scrotal_swelling
The ultrasound images show a "mass" within a large fluid with bowel and mesentery suspended above the right testis. This is a typical finding in male indirect inguinal or inguinoscrotal hernia.
The right testis appears to be normal in size and shape despite the huge hernial sac compressing it.
See a similar ultrasound case at:
http://www.ultrasound-images.com/scrotum.htm#Indirect_inguinal_hernia_forming_large_Right_scrotal_swelling
A case of obstructive jaundice
This is an elderly male diagnosed clinically as obstructive jaundice.
The CBD and intrahepatic biliary tree appear dilated. The pancreas was poorly visualized due to bowel gas.
What is your opinion? I could not spot any calculus in the Common bile duct (CBD). So I must presume the obstruction to the CBD must be in the pancreas. :-)
(Click on the images to view full size).
The CBD and intrahepatic biliary tree appear dilated. The pancreas was poorly visualized due to bowel gas.
What is your opinion? I could not spot any calculus in the Common bile duct (CBD). So I must presume the obstruction to the CBD must be in the pancreas. :-)
(Click on the images to view full size).
Subscribe to:
Comments (Atom)


















































