
This patient underwent surgery for the removal of a staghorn calculus from the right kidney. A right ureteric stent was inserted to facilitate the smooth passage of urine in the right ureter. Ultrasound image shows the upper end of the DJ or Double J stent (JJ stent) in the right renal pelvis.

The lower end of the JJ right ureteric stent is seen in the urinary bladder as a coiled echogenic linear (tubular echo). The presence of coils/ pigtail loops at both ends pf the ureteral stent prevents its displacement or migration. Ultrasound imaging also helps to rule out other complications of ureteral stent like infection, migration, obstruction and malpositioning.
For ultrasound images/ case study of ureteral stones and ureteral pathology see:
http://www.ultrasound-images.com/ureteric-calculi.htm
For more information on ureteral stents, see:
http://radiographics.rsna.org/content/22/5/1005.full

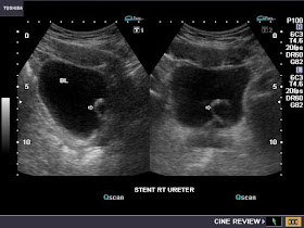
The sonographic image above ( case-2) shows the lower end of stent in urinary bladder

Just added this image (case-2) showing the DJ stent tip (upper end) clearly in side the renal pelvis of the right kidney (view made possible due to minimal fluid/ urine in the renal pelvis)- see image just above.
For an ultrasound video of ureteral stent:
http://ultrasound-videos.blogspot.com/2010/11/double-j-ureteric-stent-ureteral-stent.html
No comments:
Post a Comment