Friday, February 26, 2010
Succenturiate placenta- a short ultrasound video clip
This video clip shows an anteriorly located accessory lobe or succenturiate lobe of placenta in a 32 weeks pregnancy. Such a placenta is at increased risk of post partum (post delivery) retention of part of the placenta. The main part of the placenta is seen along the posterior wall of the uterus.
Check: http://www.ultrasound-images.com/placenta.htm for more images and and links on this topic.
Monday, February 15, 2010
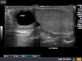
Ultrasound- Spermatoceles versus epididymal cysts:
Left Epididymal cyst


Right spermatocele:


Spermatoceles are the commonest cystic lesions of the scrotum. Both spermatocele and simple cysts of the epididymis are often difficult to distinguish from each other purely on ultrasound. The main difference is usually presence of echogenic debris or particles in the fluid within the cystic mass; particles (inactive sperms) are present in spermatocele (see images above) whilst clear fluid is seen in simple cyst of the epididymis (top most images).
See:
http://www.ultrasound-images.com/scrotum.htm
for more on this topic.


Right spermatocele:


Spermatoceles are the commonest cystic lesions of the scrotum. Both spermatocele and simple cysts of the epididymis are often difficult to distinguish from each other purely on ultrasound. The main difference is usually presence of echogenic debris or particles in the fluid within the cystic mass; particles (inactive sperms) are present in spermatocele (see images above) whilst clear fluid is seen in simple cyst of the epididymis (top most images).
See:
http://www.ultrasound-images.com/scrotum.htmfor more on this topic.